北綾瀬・足立区谷中の歯医者。丁寧な説明と充実した設備を備えた歯科医院

〒120-0006 東京都足立区谷中1-17-7 あやせコミュニティパーク1F
東京メトロ千代田線「北綾瀬」駅5番出口より徒歩6分

診療時間
9:00~12:30 × ×
14:00~18:30 × ×

診療時間:9:00~12:30/14:00~18:30
休診日:木曜日・日曜日
※祝日でも休診になる場合がございます。直接お電話にてご確認ください。

歯科コラム

銀歯とセラミックの違いは?どっちがおすすめ?

インプラント

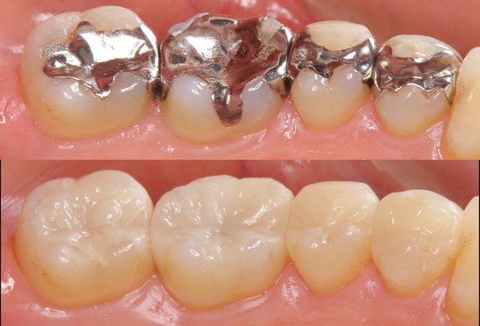
虫歯は、虫歯菌に感染している歯質を削らなければ治せません。ですから、虫歯治療のあとはそれなりの大きさの穴が空いてしまうため、何らかの歯科材料や修復物で補う必要が出てきます。そんな時、選択肢として挙げられるのが銀歯とセラミックの歯です。今回はそうした虫歯治療のあとに装着する銀歯とセラミックの違いを解説し、それぞれのどのような人に向いているのかもわかりやすく説明します。

銀歯の特徴とメリット・デメリット

おそらく、足立区の綾瀬でもこれまで歯医者の虫歯治療で銀歯を装着した経験がある方がいらっしゃることでしょう。銀歯は保険が適用されることから、足立区の綾瀬に限らず、全国どこの歯医者でも同じ費用で虫歯治療を受けることが可能です。また、銀歯に用いられる歯科用合金はとても丈夫であり、そう簡単に壊れることはありません。

 

ただ、銀歯は金属色がむき出しで見た目が悪く、金属アレルギーや歯茎が黒ずむメタルタトゥーのリスクも伴うというデメリットがあります。この点が不安、もしくは不満で銀歯ではなくセラミックの歯を希望される方が足立区綾瀬でも増えてきているのが現状です。銀歯にはその他、セラミックよりも虫歯が再発しやすい、素材が劣化しやすいといったデメリットもあります。

 
セラミック歯の特徴とメリット・デメリット

最近、足立区綾瀬では虫歯治療のあとにセラミック歯を入れる人が増えてきています。これはセラミック製の歯が天然歯に限りなく近い見た目を備えている点が大きく関係しています。セラミックは天然の歯の白さ、光沢、透明度、質感を忠実に再現するのが得意な材料であり、足立区綾瀬の歯医者で虫歯治療後にセラミックで修復した場所は、本物の歯と見分けがつかないくらい美しく自然に仕上がります。

 

また、セラミックは金属ではないので当然ではありますが金属アレルギーとメタルタトゥーのリスクがゼロとなります。この点も足立区綾瀬で、虫歯治療のあとにセラミックを選択する際のポイントとなっているようです。さらにセラミックは、歯と精密に適合させることができるため、虫歯の再発リスクも銀歯より低くなっています。ただ、足立区綾瀬に限らず、虫歯をセラミックで治療する場合は原則的に自費診療となります。その点はセラミックの大きなデメリットといえるでしょう。

 

今回は、銀歯とセラミックの違いについて解説し、足立区綾瀬の歯医者で虫歯治療を受けるのであればどちらがおすすめであるかをご説明しました。どちらかが絶対的に優れているということはありませんので、銀歯とセラミックで迷われている方はいつでもお気軽に足立区綾瀬のフォレストデンタルクリニックまでご相談ください。当院は銀とセラミックの両方に対応している歯医者さんです。

治療の流れや当院の特長などご紹介

電話、Webからお問合せいただけます。

監修歯科医師

医療法人社団デンタルケアコミュニティ

あやせ院院長

齋藤 栄崇歯科医師

 

【経歴】

2006年 日本歯科大学 新潟歯学部卒 大学病院で一般歯科、口腔外科を中心に治療経験を積む

2007年より 一般の歯科医院にて、一般歯科、小児歯科、口腔外科のほか、訪問歯科を多数経験

2011年 あやせ院の院長に就任

 
パソコン|モバイル
ページトップに戻る