北綾瀬・足立区谷中の歯医者。丁寧な説明と充実した設備を備えた歯科医院

〒120-0006 東京都足立区谷中1-17-7 あやせコミュニティパーク1F
東京メトロ千代田線「北綾瀬」駅5番出口より徒歩6分

診療時間
9:00~12:30 × ×
14:00~18:30 × ×

診療時間:9:00~12:30/14:00~18:30
休診日:木曜日・日曜日
※祝日でも休診になる場合がございます。直接お電話にてご確認ください。

歯科コラム

「虫歯」カテゴリの歯科コラム一覧

2023/01/14 【カテゴリ:虫歯

歯医者さんで治療をした歯が繰り返し虫歯になってしまうケースは、意外に珍しくありません。綾瀬の歯科医院にもそうした患者さまがたくさんいらっしゃることでしょう。フォレストデンタルあやせ院ではそのようなことがないよう、細心の注意を払いながら虫歯治療を実施しています。今回はそんな虫歯の再発を繰り返してしまう原因について詳しく解説します。

2022/9/17 【カテゴリ:虫歯

足立区北綾瀬の歯医者で虫歯治療を受ける予定の方は、詰め物・被せ物の材料について迷われているかもしれませんね。希望する材料によっては始めから自費診療にしなければならないため、あらかじめどの材料を使用するか決めておいた方が良いといえます。そこで今回は足立区北綾瀬の歯医者でも人気の高いセラミックのメリットについてかんたんにご説明します。

2022/8/18 【カテゴリ:虫歯

歯科治療でメタルフリーとは、その名の通り金属を使わない治療のことです。虫歯治療いうと銀歯をイメージする方も多いかと思いますが、歯科治療には金属を使用した材料が多くあります。しかし、金属材料を使用した治療にはさまざまな問題点があり、近年歯科治療におけるメタルフリーが注目されています。

2022/7/14 【カテゴリ:虫歯

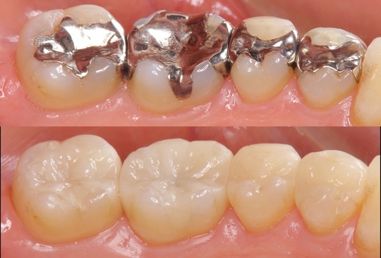
虫歯は、虫歯菌に感染している歯質を削らなければ治せません。ですから、虫歯治療のあとはそれなりの大きさの穴が空いてしまうため、何らかの歯科材料や修復物で補う必要が出てきます。そんな時、選択肢として挙げられるのが銀歯とセラミックの歯です。今回はそうした虫歯治療のあとに装着する銀歯とセラミックの違いを解説し、それぞれのどのような人に向いているのかもわかりやすく説明します。

2022/6/18 【カテゴリ:虫歯

補綴物とは虫歯や歯周病などで歯を失ったり、欠けてしまったりした部分を人工的な材料で補う物のことです。例えば銀歯やブリッジというとイメージできるでしょうか。

2022/4/21 【カテゴリ:虫歯

毎日、毎食後に十分時間をかけて歯磨きしているのに、虫歯になりやすいというお悩みをお持ちではありませんか?足立区北綾瀬にある当院にも、虫歯でお悩みの患者様が多く来院されています。今回は、歯医者の視点で、虫歯にならない習慣について、ご提案いたします。

2022/3/16 【カテゴリ:虫歯

マスク生活を続けていると、マスクの中の自分の息の臭いが気になることはありませんか?北綾瀬の当院にも口臭の相談に来る患者さんはいらっしゃいます。口臭の原因は胃腸の調子が悪いときや、糖尿病のような全身疾患が原因となる場合があります。しかしお口の臭いが気になる方、その原因はほとんどがお口の中なのです。口臭が気になる方は、もしかしたら虫歯がある可能性があります。今回は口臭と虫歯の関係を解説します。

2022/2/14 【カテゴリ:虫歯

「虫歯があるけど、忙しくて歯医者に行けない…」「歯がたまに痛むけれど、歯医者が苦手…」と歯医者に行くのを先延ばししていませんか?虫歯を放置した場合、お口の中だけではなく全身の健康状態にも影響を及ぼす可能性があります。

2022/1/16 【カテゴリ:虫歯

歯医者で行っている主な治療は「虫歯」と「歯周病」です。「よく聞くけれど違いがわからない。」という方も多いのではないでしょうか。今回は虫歯と歯周病のさまざまな「違い」を解説します。

2021/12/15 【カテゴリ:虫歯

歯がしみる、ズキズキとした痛みがある。そんな時みなさん「もしかして虫歯かな。」と思うでしょう。虫歯は、お口の中の細菌が食べカスをエサにして酸を作り出し、歯を溶かしてしまう疾患です。今回は虫歯の原因や症状、予防方法を解説します。

2021/05/17 【カテゴリ:虫歯

歯を失う二大原因は、虫歯と歯周病です。そのうち歯周病は虫歯と異なり、痛みをあまり感じないまま症状が進行するため・・・

治療の流れなどを詳しくはこちらでご紹介。

電話、Webからお問合せいただけます。

監修歯科医師

医療法人社団デンタルケアコミュニティ

あやせ院院長

齋藤 栄崇歯科医師

 

【経歴】

2006年 日本歯科大学 新潟歯学部卒 大学病院で一般歯科、口腔外科を中心に治療経験を積む

2007年より 一般の歯科医院にて、一般歯科、小児歯科、口腔外科のほか、訪問歯科を多数経験

2011年 あやせ院の院長に就任

 
パソコン|モバイル
ページトップに戻る